Thanks to the makeup provided in Montreal and the unique surgery in Canada, men with their small size complex are willing to pay $ 90,000 to stretch their legs.
Also read: FIQ states that disruption of services is more desirable than mandatory overtime
Also read: October, Menstrual Mourning Month: Help Families Overcome This Suffering
“They’re so grateful, it doesn’t make sense. So, it’s encouraging,” he saidRe Mary Gdalevitch, orthopedist from Montreal.
For three years, this surgeon who specializes in joint length offered this surgery to the legs for aesthetic purposes. This service is only available in Canada at a cost of $ 90,000.
Patients come from all over the country and pay 100% because it is aesthetic. The majority (95%) are men between the ages of 18 and 35, who are 5 feet 8 inches or less.
Whether they are firefighters, doctors or engineers, this concept is common to them: they live poorly on a small scale.
“It’s something that bothers them daily. […] There are some people who are depressed and it can be really big in their lives, ”says DRe Gdalevitch.
“The most important thing is that I do not judge them. It is safe and as long as they do it for the right reasons, it is their life. Then the patients are very happy,” he adds.
Consult with a psychologist
Also, patients should consult a psychologist before going under the knife.
“I want to know what they are doing. I do not want a patient who is suicidal or severely depressed. He can not have a seizure when I act. With the pain after that, it will get worse,” he explains.
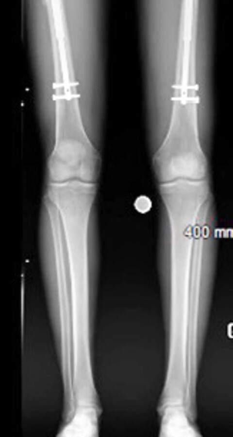
Surgery involves breaking two femurs or two tibiae (at the patient’s discretion) to insert a steel nail. After that, the patient uses a magnetic machine that rotates the nail one millimeter a day. For several months, the patient should undergo physiotherapy on a daily basis.
“The bone heals well. But, stretching affects the muscles more. They need to stretch,” T explainsRe. Bending the knee or waist is sometimes very difficult. If we say no to the body, we stop. But most reach seven or eight centimeters. They are highly motivated. “
Patients get tibia and two femurs stretched, 15 cm. Generally, patients recover within a year.
D.Re Gdalevitch decided to offer surgery because patients go to different countries for surgery (India, Turkey, China) and they often come back with problems that require treatment.
Long waiting list
Typically, an orthopedic surgeon performs surgery on six patients a year, but is forced to discontinue infectious operations. Currently, 14 Canadians (including three Cubes) are waiting.
Despite the benefits, surgery is still hated by doctors.
“It’s like a double standard. No one would deny a woman who wants bigger breasts, but lengthening is still seen as a torture technique. […] Yet it is safe. In the end, it is not wrong to say that a person is not happy with his greatness and that he feels differently in society. ”
An activity that restores confidence
A talented young footballer who stretched his legs up to eight centimeters is now more confident and better at his sport.
“It really makes a big difference. Being tall says self-confidence, a young man in his twenties wants to be unnamed. I no longer have to think: ‘I’m small’. It gives hope, and you’re happy.”
The university student was 5 feet 7 inches tall before surgery in Montreal in 2019, while he was 5 feet 10 years old today. Also, he admits that his small size made it very difficult for him to practice his game.
“I could still play, but it bothered me to be the youngest in football and life in general. It was still running through my head,” he admits.
After learning that there was a long operation, Montreal did not hesitate.
“I was scared to come back to football like I was playing. The doctor reassured me it was okay,” he said.
The year of recovery went well, but the young man admits that the last two centimeters stretch was “serious”.
“I rested on lengthening after five centimeters and my nerves hurt a lot,” he recalled, adding that he was lucky to have surgery just before the infection because he recovered during his imprisonment.
“At first I felt like an adult next to my little friends. It was weird that I could see more when I opened the fridge.
Fully recovered
However, although a few close friends have noticed his new size, he does not talk openly about it. “It’s hard to explain … if anyone asks me, I’ll tell you,” he admits.
Today, this footballer has fully recovered in the area of his legs. And the fact that he is eight centimeters tall makes a difference.
“It definitely helps. The bigger the better. I have no regrets at all!”
See also

“Music geek. Coffee lover. Devoted food scholar. Web buff. Passionate internet guru.”
